Najbardziej Ci do twarzy z uśmiechem...
Ortodoncja, Implanty, Licówki
Nic, co nosisz, nie jest ważniejsze niż Twój uśmiech.
Uśmiech to nie tylko estetyka – to esencja tego, jak odbierają nas inni.
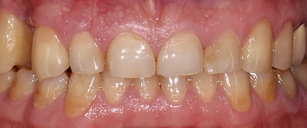
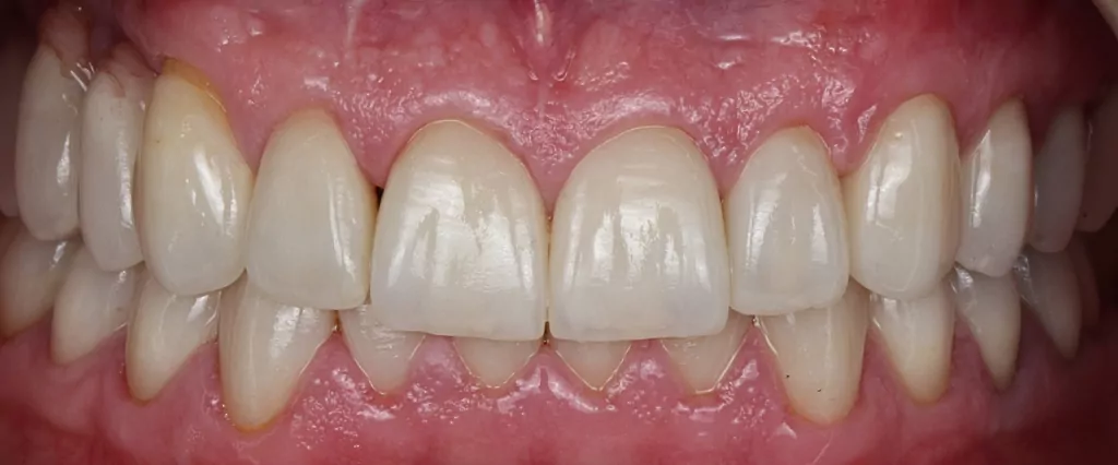
Pan Stanisław przekonał się, że w każdym wieku można odzyskać nie tylko pełnię zębów, ale i pełnię siebie.
Leczenie, które objęło ortodoncję nakładkową, implanty oraz licówki pełnoceramiczne, przywróciło brakujące zęby i nadało jego uśmiechowi zupełnie nową harmonię. Wyrównane łuki sprawiły, że uśmiech stał się symetryczny, a kształt i kolor zębów zostały zaplanowane w taki sposób, by idealnie współgrały z rysami twarzy i osobowością Pana Stanisława.
Efekt? Naturalna młodzieńczość i witalność, które promieniują szczerością. Nowy uśmiech dodał mu nie tylko pewności siebie, ale także niezwykłej serdeczności i życzliwości, którą od razu można dostrzec w jego spojrzeniu.
Bo nic nie ubiera człowieka piękniej niż uśmiech.
Zobacz efekt tej metamorfozy .








UMÓW SIĘ NA WIZYTĘ
